Application du mois : une restauration dentaire réussie grâce à l’impression 3D résine
Les flux de travail numériques avancés et la fabrication additive transforment le domaine de la dentisterie restauratrice. Dans cet article, nous présentons un cas de réhabilitation buccale complète pris en charge par le Dr Guvinder Gakhal, dans lequel une couronne en résine imprimée en 3D par SprintRay a été utilisée pour restaurer les dents d’un patient souffrant d’une usure dentaire généralisée sévère. Un cas d’application qui démontre comment la précision, l’efficacité et les techniques mini-invasives peuvent donner des résultats cliniques et esthétiques exceptionnels.
Utilisation de l’impression 3D pour aider à restaurer l’usure dentaire
Un électricien de 56 ans présentait une usure dentaire importante résultant d’un bruxisme nocturne chronique, c’est-à-dire le grincement ou le serrement habituel des dents pendant le sommeil. Bien que le patient ne ressentait aucune douleur, la perte continue de hauteur dentaire l’exposait à un risque élevé d’exposition de la pulpe, ce qui signifie que le nerf interne et les vaisseaux sanguins de la dent pouvaient être exposés. Une intervention précoce était importante pour préserver ses dents naturelles, éviter des restaurations plus complexes à l’avenir et maintenir une fonction buccale adéquate.

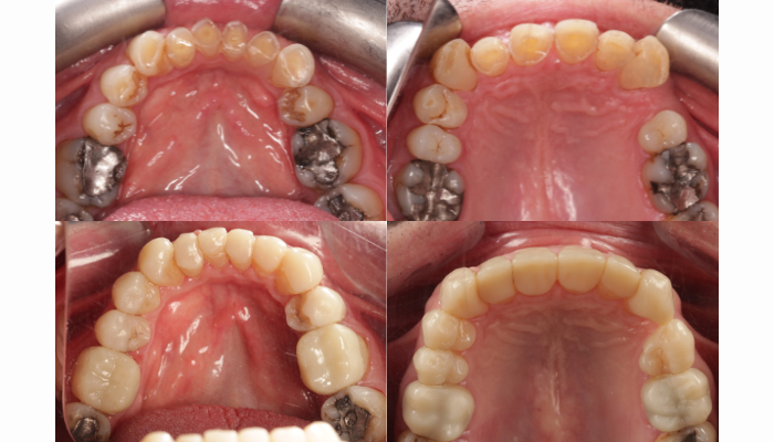
De gauche à droite et de haut en bas, l’impression 3D a permis d’atténuer l’usure dentaire importante des patients.
Le Dr Gakhal a adopté une approche centrée sur le patient, discutant des objectifs du traitement qui comprenaient la protection de la structure dentaire restante, la restauration de la dimension verticale occlusale, qui est la distance naturelle entre les mâchoires supérieure et inférieure lorsque la bouche est fermée, et l’amélioration de l’esthétique tout en gardant le traitement aussi peu invasif que possible. Le cas du patient présentait plusieurs défis, notamment des couronnes cliniques (les parties visibles des dents au-dessus de la ligne gingivale) fortement raccourcies avec une exposition quasi totale de la pulpe, une compensation alvéolaire (un changement de la position de la mâchoire qui se produit lorsque les dents s’usent et qui peut affecter l’occlusion), des sommets gingivaux asymétriques (des hauteurs gingivales inégales qui affectent la ligne du sourire) et des canines positionnées sur le côté buccal (dents inclinées vers l’extérieur en direction des joues). Chacun de ces éléments a nécessité une planification minutieuse afin d’obtenir un résultat naturel et fonctionnel.
Flux de travail numérique et impression 3D
La réhabilitation a suivi un flux de travail entièrement numérique, commençant par un wax-up diagnostique, qui est un modèle numérique ou physique permettant de visualiser les formes et les positions prévues des dents. Celui-ci a été converti en un « sourire d’essai » à l’aide de résine bisacrylique, un matériau temporaire qui permet aux patients de prévisualiser le design proposé. Le sourire d’essai a donné au patient l’occasion d’approuver l’occlusion, l’esthétique et l’élocution prévues avant de passer à l’étape suivante. Une fois la conception approuvée, les fichiers STL finaux ont été envoyés à l’imprimante SprintRay Pro 2 pour la fabrication des couronnes permanentes. Le post-traitement comprenait un nettoyage à la main avec de l’alcool isopropylique à 99 %, un revêtement, un durcissement final, un polissage et un ajustement précis. Le processus de cimentation a nécessité une préparation minutieuse de la surface, un apprêt et un durcissement final sous glycérine afin de garantir un ajustement optimal et une durabilité à long terme.
Avantages des restaurations imprimées en 3D
Alors que la résine composite est traditionnellement préférée pour les cas d’usure dentaire, car elle peut être facilement réparée et nécessite une préparation minimale de la dent, les couronnes imprimées en 3D offraient plusieurs avantages clés dans ce cas. Cette technologie a permis d’obtenir une précision exceptionnelle, une adaptation marginale juste (ajustement parfait entre la couronne et le bord de la dent) et une résistance structurelle améliorée. Le flux de travail numérique a permis de s’assurer que chaque couronne correspondait au modèle d’essai approuvé, offrant des résultats fonctionnels et esthétiques prévisibles tout en préservant autant que possible la structure naturelle de la dent.

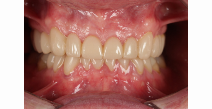
Le produit final démontre la puissance de l’impression 3D dans le secteur dentaire.
Le patient a immédiatement été satisfait de l’amélioration de l’apparence et du confort. Les évaluations de suivi à deux semaines, un mois, deux mois et trois mois ont confirmé qu’il s’était bien adapté à la dimension verticale occlusale restaurée et aux nouvelles restaurations. En préservant l’émail et en minimisant la réduction dentaire, cette approche a réduit le risque de complications pulpaires (inflammation ou irritation du nerf dentaire) tout en optimisant le confort du patient et la santé bucco-dentaire à long terme.
Le Dr Gakhal a réfléchi aux avantages de l’intégration des flux de travail numériques et de l’impression 3D SprintRay dans les cas complexes d’usure. Il a noté que cette approche améliorait la collaboration entre les équipes cliniques et les laboratoires, préservait la structure naturelle des dents et offrait des résultats prévisibles, durables et esthétiques. Ce cas a également fourni des informations précieuses sur les performances à long terme des restaurations imprimées en 3D dans les réhabilitations complexes. Avec l’introduction des résines à dominante céramique, qui sont des résines renforcées par des particules de céramique pour une plus grande résistance, les applications futures devraient offrir encore plus de durabilité tout en conservant la précision, la réparabilité et les avantages d’un traitement mini-invasif. Bien que des études supplémentaires soient nécessaires pour évaluer les résultats à long terme, ce cas met en évidence le fort potentiel clinique des restaurations définitives imprimées en 3D.

Crédits photo : 3Dnatives
Que pensez-vous de cette restauration dentaire ? Quel est l’impact de l’impression 3D dans ce domaine ? N’hésitez pas à partager votre avis dans les commentaires de l’article. Vous êtes intéressés par l’actualité de l’impression 3D médicale ? Cliquez ICI. Vous pouvez aussi nous suivre sur Facebook ou LinkedIn !
*Crédits photo de couverture : VistaDent / *Crédits des autres photos : Guvinder Gakhal
